台兒通訊 >> 2016年 >> 四月 >> In-uterine Diagnosis of Intracranial Dural Arteriovenous Fistula Mimicking Vein of Galen Aneurysmal Malformation
葉長青1, 3、李函叡2, 3、郭萬祐2, 3
1臺北榮民總醫院婦女醫學部
2臺北榮民總醫院放射線部
3陽明醫學大學醫學院
2016/3
硬膜動靜脈瘻管(Dural Arteriovenous Fistula)是少見的疾病,產前診斷更不常見,通常需要彩色都卜勒超音波與磁振造影的共同協助。以下報告一位個案:37歲,第二胎,前胎足月自然生產,無特殊異常。本次懷孕34週時,超音波發現胎兒腹水、肋膜積水、心臟擴大(圖一)以及前置胎盤。胎兒腦部發現一囊狀構造(圖二),color Doppler顯示血流豐富(圖三),超音波初步臆斷為Vein of Galen aneurysmal malformation (VGAM)。產前磁振造影進一步發現右側大腦表面有異常鼓脹的血管,延伸至右側大腦靜脈及後方直竇,另外兩側頸動脈、中腦動脈和椎動脈也異常擴張(圖四)。兩側大腦有毀壞性病灶及腦組織萎縮,尤其以右側額葉最嚴重。同時也有發現左側基底核出血及腦室出血,以及頸靜脈怒張、肋膜積水、腹水、肝臟腫大等心臟衰竭徵兆(圖五)。新生兒腦部磁振造影發現除了上述發現以外,外頸動脈以及中腦膜動脈(圖四)也有異常擴張。綜合影像學發現,此個案的診斷為顱內硬膜動靜脈瘻管合併兩側大腦組織毀壞性病灶、左側基底核出血、及續發心臟衰竭。
![]() |
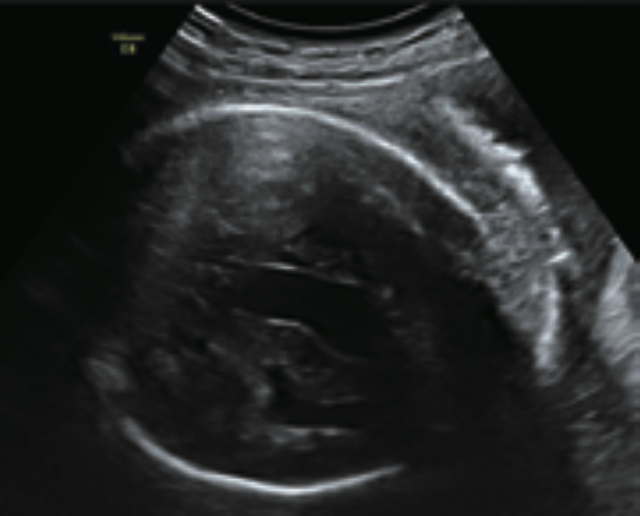
| (圖二)超音波發現胎兒腦部後上方中線出現一個囊狀柱狀的病灶 |
![]() |
| (圖三)經由血流都卜勒超音波可發現是血管瘤,且腦部血流訊號豐富 |
![]() |
| (圖四-1) |
![]() |
| (圖四-2) |
![]() |
| (圖四-3) |
![]() |
| (圖四-4) |
![]() |
| (圖四-5) |
(圖4.1-4.4妊娠34周時胎兒腦部磁振造影影像):圖4.1為T2加權影像冠狀切面,圖4.2-4.3為軸狀切面(頭側至腳側),為可見異常鼓脹的血管構造位於右側大腦表面(圖4.2黑色箭頭)延伸至右側大腦靜脈(圖4.1白色箭號)及後方直竇(圖4.2白色箭號),兩側頸動脈、中腦動脈和椎動脈異常擴張(圖4.3)。另外兩側大腦有毀壞性病灶並且造成腦組織萎縮,尤其以右側額葉最嚴重。圖4.4為T1加權影像軸狀切面(與圖4.2為同一平面),可見左側基底核出血(星號)及腦室出血(未附圖)。圖4.5 出生後18天之腦部磁振造影血管造影術顯示異常擴張之前腦動脈、中腦動脈和中腦膜動脈(圖4.5白色箭頭)及大腦皮質靜脈(圖4.5白色箭頭)。綜合影像學發現,診斷為硬膜動靜脈瘻管合併兩側大腦組織毀壞性病灶及左側基底核出血。
![]() |
| (圖五)妊娠34周時胎兒磁振造影T2加權影像冠狀切面,鼓脹之頸動脈(箭號)、心臟及肝臟擴大、胸水、腹水、胎兒水腫等都暗示心臟衰竭,推測為顱內動靜脈畸形所造成高排出量心衰竭 |
產婦本身有蛋白尿與下肢水腫,可能為mirror syndrome,於此時陣痛合併破水,於是行剖腹生產。由於胎兒嚴重心臟衰竭合併大量肋膜積水,在剖腹產時進行Ex-utero Intrapartum Treatment (EXIT)。胎兒出生後心臟衰竭持續,以藥物控制。在病況較穩定後,安排經靜脈血管栓塞,治療腦部的血管異常。
討論
先天顱內硬膜動靜脈瘻管十分少見,然而可能造成嚴重的併發症,甚至死亡。它們的表現可能類似VGAM,胎兒通常有高輸出性心衰竭,進而對生命造成威脅。在診斷上,伴隨著影像科技的進步,彩色都卜勒超音波與磁振造影提供了進一步的資訊和診斷。本個案超音波的初步臆斷為VGAM,同時也發現腦部血流異常豐富。經由磁振造影,進一步診斷顱內硬膜動靜脈瘻管。在治療方面,首先要穩定新生兒的生命徵象與控制心臟衰竭。手術對於顱內硬膜動靜脈瘻管的治療效果不佳,目前以血管栓塞為治療首選。
Vein of Galen是在胼胝體最後側之壓部(splenium of the corpus callosum)後方中線的一條單一靜脈,由雙側的internal cerebral vein和basal veins of Rosenthal匯流而成,往後流注入直竇(straight sinus)。胚胎發育第六週到第十一周之間,Willis氏環發展完成之後,在原始脈絡叢血管(primitive choroidal vessels)和Markowski正中前腦靜脈(median prosencephalic vein of Markowski)之間產生動靜脈連結,這些異常的血流進一步阻礙正常胚胎靜脈的分化,使vein of Galen以及直竇沒有正常發育;另一方面正中靜脈沒有退化,直接或經由falcine vein注入矢狀竇;這些異常動靜脈瘻管被統稱為”vein of Galen Aneurysmal Malformation, VGAM”,必須特別注意到命名上只是誤稱,實際上vein of Galen沒有發育。VGAM亦可能合併其他靜脈畸形或狹窄發生。另一方面,顱內動靜脈畸形(Arteriovenous Malformation, AVM)和硬膜動靜脈瘻管(Dural Arteriovenous Fistula, DAVF)由於顱內動脈血流增多,造成靜脈竇及正常發育的vein of Galen異常鼓大時,則稱為”Vein of Galen Aneurysmal Dilatation”。
在產前顱內動靜脈畸形、硬膜動靜脈瘻管或VGAM都是很罕見的疾病,發生率極低,過去文獻多是案例集合或個案的報導。
VGAM在超音波下的典型發現是在thalamus的後上方中線出現一個囊狀或柱狀的血管瘤,在VGAM的附近可以看到許多heterogeneous cystic area,代表附近血管的增生與擴張。在color Doppler sonography下,VGAM可以展現出許多turbulent flow。在VGAM的產前診斷中,MRI和3D ultrasound可以提供重要的輔助資訊,確定病灶的位置和做為產後處置的諮詢。VGAM需要與其他腦部中線囊狀病灶做鑑別診斷,例如arachnoid cyst或是interhemispheric cyst associated with agenesis of the corpus callosum。VGAM的特色在於它位於thalamus的後上方,而且在color Doppler下會有豐富的血流。如果看到congestive heart failure則可更確定診斷。
顱內動靜脈畸形、硬膜動靜脈瘻管和VGAM的大小、發病年齡和相關心臟衰竭的狀況直接影響其臨床表現和預後。一般來說,若發病期在5歲以後,通常預後較佳,在產前則預後不好。如果VGAM很大,會造成顱內血流上升,進而產生高輸出性心臟衰竭。在產前,VGAM可能併發hydrocephalus、generalized cardiomegaly、right ventricular enlargement、hydrops fetalis,或嬰兒時期心臟衰竭。除了因為high flow shunting所造成的心臟變化,據文獻統計,VGAM也有較高的機率合併心血管異常(coarctation of the aorta和transposition of the great vessels)。此外,VGAM可能併發brain ischemia、periventricular leukomalacia和cortical brain atrophy,這些都影響疾病的預後。
由於疾病罕見與初期異常不明顯,VGAM的產前診斷常是在懷孕中後期。當VGAM被確定診斷後,需要進行整體胎兒結構掃描,排除合併的異常。在產前應該定期追蹤VGAM的大小,以及是否有hydrocephalus和heart failure等併發症。除此之外,建議MRI掃描來進一步診斷與評估疾病嚴重程度。同時,邀集小兒、神經外科與放射科醫師共同評估,為準父母做諮詢與為胎兒制定產後治療計畫。至於生產的時機與方式,由於個案數不多,所以沒有特別的建議。一般視胎兒週數與heart failure情形來決定,若合併有hydrocephalus和macrocephaly則建議剖腹生產。VGAM的新生兒首先須評估腦部結構與病灶狀況,同時控制可能的congestive heart failure。治療的時機視病嬰症狀、年齡以及病灶範圍決定。在1980年以前,神經外科手術是主要的治療方式,但預後不佳。近年來,隨著影像學與介入性放射醫學治療的發展,血管栓塞術已成為治療首選。
Ex utero Intrapartum Treatment (EXIT)是在生產時,胎兒尚未完全娩出的狀況下,臍帶仍可維持胎兒的血氧供應,在此時為胎兒放置氣管內管,等呼吸道暢通與給氧確認無虞後,才將胎兒娩出。EXIT的適應症為胎兒有high airway obstruction或是嚴重cardio-pulmonary compromised的狀況,例如neck mass (cervical teratoma、lymphatic malformation、goiter)、congenital cystic adenomatoid malformation of the lung (CCAM)、severe congenital diaphragmatic hernia等。EXIT的執行需要多專科團隊的配合,包含婦產科、新生兒科、麻醉科以及耳鼻喉科的通力合作。EXIT有效的關鍵在於維持臍帶血流的暢通,以及成功建立呼吸道。
References
- BMJ Case Rep. 2015 Dec 7;2015. pii: bcr2015213785. doi: 10.1136/bcr-2015-213785.
- Ultrasound Obstet Gynecol. 2012 Dec;40(6):652-8
- Neurosurgery. 2012 May;70(5):1207-13
- Clin Exp Obstet Gynecol. 2013;40(2):300-3
- Neuroradiol J. 2015 Feb;28(1):72-5
- J Paediatr Child Health. 2013 Sep;49(9):E420-7
- Semin Pediatr Surg. 2013 Feb;22(1):44-9
- Diagn Interv Radiol. 2006 Jun;12(2):64-7
- Expert Rev Neurother. 2016 Mar;16(3):307-18
圖一:心臟衰竭與肋膜積水

圖三:經由血流都卜勒超音波可發現是血管瘤,且腦部血流訊號豐富
圖四.1

圖四.2
圖四.3
圖四.4
圖四.5
圖四(圖4.1-4.4妊娠34周時胎兒腦部磁振造影影像):圖4.1為T2加權影像冠狀切面,圖4.2-4.3為軸狀切面(頭側至腳側),為可見異常鼓脹的血管構造位於右側大腦表面(圖4.2黑色箭頭)延伸至右側大腦靜脈(圖4.1白色箭號)及後方直竇(圖4.2白色箭號),兩側頸動脈、中腦動脈和椎動脈異常擴張(圖4.3)。另外兩側大腦有毀壞性病灶並且造成腦組織萎縮,尤其以右側額葉最嚴重。圖4.4為T1加權影像軸狀切面(與圖4.2為同一平面),可見左側基底核出血(星號)及腦室出血(未附圖)。圖4.5 出生後18天之腦部磁振造影血管造影術顯示異常擴張之前腦動脈、中腦動脈和中腦膜動脈(圖4.5白色箭頭)及大腦皮質靜脈(圖4.5白色箭頭)。綜合影像學發現,診斷為硬膜動靜脈瘻管合併兩側大腦組織毀壞性病灶及左側基底核出血。
圖五 : 妊娠34周時胎兒磁振造影T2加權影像冠狀切面,鼓脹之頸動脈(箭號)、心臟及肝臟擴大、胸水、腹水、胎兒水腫等都暗示心臟衰竭,推測為顱內動靜脈畸形所造成高排出量心衰竭














