文/台兒診所 夏敬淇放射師
本季季會討論四個產前個案,題目如下:
- 部份性胼胝體發育不全(Partial agenesis of corpus callosum, pACC)
- 透明中膈腔型態有疑義(Equivocal CSP)
- 蛛網膜囊腫(Arachnoid cyst)
- 腓骨半肢畸形(Fibular Hemimelia)
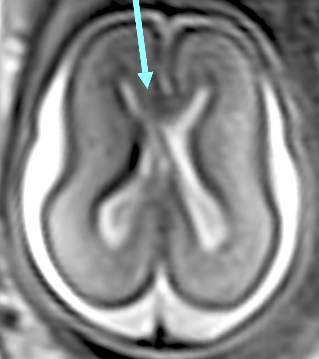
個案一:部分胼胝體發育不全
第一個個案妊娠23週時發現透明中膈腔型態有疑義,進一步檢查胼胝體,發現胼胝體形狀較短(圖一),進而安排胎兒磁振造影,影像上發現胼胝體的isthmus與splenium缺失(圖二),診斷為pACC。後續安排兩次超音波和一次fetal MRI,沒有發現其他結構異常,胎兒尚未出生,故會繼續追蹤出生後的狀況。一篇meta-analysis文獻比較完全性胼胝體發育不全(Complete agenesis of corpus callosum,)與部份性胼胝體發育不全的合併其他異常狀況及預後,發現pACC整體的預後都較差,最後文獻提出因為各項研究的個案數較少且缺乏一致性的神經發展評估系統,故期望能有更大型的研究出現。
![]() |
| 圖一、胼胝體較短(US) |
![]() |
| 圖二、胼胝體較短(MRI) |
個案二:透明中膈型態有疑義
第二個個案於妊娠22週發現透明中膈腔的型態有疑義(圖三),然而腦部其他構造無異常,腦部溝迴與胼胝體皆可見,22週時安排胎兒磁振造影,透明中膈腔較小且透明中膈的前半部歪向右側(圖四),胼胝體長度在正常範圍,但是胼胝體的喙部(Rostrum)的邊界不清楚(圖五),考慮到有可能是因為週數較小的關係,所以會持續追蹤,後續由臺北榮總林洛伊醫師介紹透明中膈的發育和磁振造影下的CSP之寬度和長度,郭萬祐醫師則提到在成人中,不時就會見到持續性透明中膈腔(第五腦室),或許可回顧相關數據。
![]() |
| 圖三、透明中膈腔的型態有疑義(US) |
個案三:蛛網膜囊腫
第三個個案為蛛網膜囊腫。孕婦於妊娠9週時驗到巨大細胞病毒的IgG(+), IgM(+), 高IgG avidity,於妊娠11週複檢依然為IgG(+), IgM(+),妊娠17週時實行羊膜穿刺並加驗CMV PCR,結果為陰性,於妊娠23週進行中期解剖構造評估,在胎兒腦部前半部中線處發現一無回音病灶,大小約為17.9乘於13.3毫米,無血流通過(圖六),可能為蛛網膜囊腫,另外發現硬顎後緣有疑義(圖七),因上述發現,故安排胎兒磁振造影,磁振造影顯示在suprasellar-prepontine區域有一囊性病灶,有造成壓迫(mass effect)使得視交叉(optic chiasm)、視徑(optic tract)和腦垂腺柄(pituitary stalk)往上往前推移(圖八),而顎骨在MRI無法發現異常,此囊腫的鑑別診斷包括Craniopharyngiomas, Benign cystic gliomas, Rathke cleft cysts, Colloid cysts of the third ventricle。雖然蛛網膜囊腫的預後相對不錯,但此個案的cyst位於中線,且有推擠到視交叉附近的構造,故在出生後要特別注意視力與內分泌的變化。
![]() |
| 圖六、Arachnoid cyst (US) |
![]() |
| 圖七、硬顎後緣有疑義 (US) |
![]() |
| 圖八、Arachnoid cyst (MRI) |
個案四:腓骨半肢畸形
第四個個案為腓骨半肢畸形。產檢無異常狀況,於妊娠24週接受中期解剖構造評估,在觀察胎兒下肢骨時,發現右腳的脛骨與腓骨有落差,進而測量長度,發現脛骨為27.2mm而腓骨只有15.3mm(圖九),腳趾數量正常,因此安排胎兒磁振造影以確認有無其他合併異常,然而除腓骨較短(圖十)以外無異常發現。腓骨半肢畸形為所有長骨異常疾病中最常見的,發生率約為5.7-20:1000000,偶發性(sporadic)居多,也會與基因異常、使用致畸胎藥物、胚胎時期血管被破壞(vascular disruption)相關,通常不太會有骨骼以外的器官異常,但脛骨、股骨、指頭、腳踝也出現異常的機率較高。
![]() |
| 圖九、腓骨(US)(紅色箭頭) |
![]() |
| 圖十、腓骨(MRI)(黃色箭頭) |









