文/台兒診所 吳佩臻 醫師
2015/5
ACOG (The American College of Obstetrician and Gynecologist)在2012年已提出第二孕期經陰道超音波常規測量子宮頸長度以評估早產風險,並根據單胞胎或雙胞胎懷孕、孕婦是否有早產病史等,適時給予降低早產發生率的處置的施行建議(Am J Obstet Gynecol 2013; 209: 365.e1-5),然而妊娠中期常規經陰道超音波檢查能給予婦產科醫師臨床上的幫助,不只是測量子宮頸長度降低早產風險而已,在同一個操作平面下,還能以比經腹部超音波檢查更準確地同時觀察子宮頸內口是否覆蓋了胎盤(placenta previa)或有臍帶附著其上(vasa previa)。
前置胎盤(placenta previa)的發生率在一般孕婦族群中約3.5-4.6/1000 births (J Matern Fetal Neonatal Med 2003,13:175),目前婦產科醫師對於產前正確診斷前置胎盤並給予適當生產處置的重要性早已熟悉,然而對於和前置胎盤類似的情況—前置血管(vasa previa)卻顯得相當陌生。
前置血管指得是行走於胎盤外的一段臍帶附著於子宮頸內口,估計發生率約1:1200到1:5000,近來研究顯示其真正的發生率應該更高(Ultrasound Obstet Gynecol 2015;45:516–522)。由於該附著於子宮頸內口上的臍帶並無Wharton’s jelly保護,容易在受到胎兒擠壓時導致胎兒心跳減速,最嚴重的併發症是發生破水的同時造成臍帶血管破裂,快速的胎兒失血引發胎兒/新生兒死亡。至於好發前置血管的孕婦族群,根據Prenat Diagn 2010;30:1121-25一文有:孕婦有帆狀胎盤樣的臍帶附著(velamentous cord insertion)、低位胎盤(low-lying placenta)、臍帶胎盤相接的位置位於子宮下段(low cord insertion)、或胎盤型態異常(abnormal placenta forms,最為人熟知的就是兩葉胎盤(bilobed placenta)或副葉胎盤(accessory placenta),其中連接兩塊胎盤的臍帶附著於子宮頸內口)。
在第二孕期常規經陰道測量子宮頸長度的同時輔以Color Doppler篩檢前置血管,若觀察到疑似前置血管情形但又無法明確判斷該血管為母體血管或胎兒臍帶時,再以Pulse-wave Doppler鑑別。產前是否正確診斷前置血管,對於新生兒的預後有關鍵性的影響,產前正確診斷前置血管並給予適時的剖腹產,新生兒存活率可達96.7%, 反之新生兒存活率則僅43.6% (Obstet Gynecol 2004;103:937-42)。Ultrasound Obstet Gynecol 2015;45:516–522對於在不同孕期,經陰道或經腹部超音波產前診斷前置血管的準確率做了詳細的系統性分析,發現最常診斷前置血管的懷孕週數是18到26週,經陰道超音波加上Color Doppler的診斷方式的確可以獲得最高的診斷準確率(90-100%)。
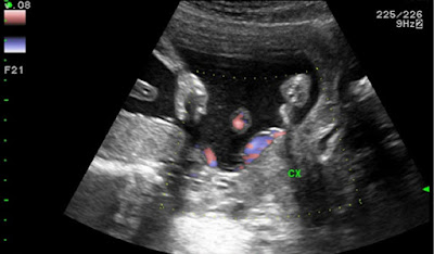
圖1a
圖1b
經陰道超音波檢查,B-mode (圖1a)及Color Doppler (圖1b),可發現Color Doppler的確有助於辨識位於子宮頸內口前方的血管。
圖2a
圖2b
(同上例)再經腹部超音波檢查可見其臍帶與胎盤連接的位置在子宮下段,臍帶在離開胎盤後先爬行於子宮壁再附著於子宮頸內口的情形。



