台兒胎兒醫學電子報
  • Home
  • 創辦人的話
    • 台兒診所 張東曜院長
    • 台兒理念
  • 衛教專區
    • 台兒醫師有話說
  • 台兒TMAMA官網
  • 相關連結
    • 小小心世界
  • Home
  • 創辦人的話
    • 台兒診所 張東曜院長
    • 台兒理念
  • 關於我們
    • 台兒日常
    • 台兒其人
  • 衛教專區
    • 台兒醫師有話說
  • 學術活動
    • 活動回顧
    • 『慘』科OB會
    • 台兒胎兒醫學工作坊
    • 北區胎兒影像學季會
    • 胎兒心臟病病例報告會
    • 台兒神奈川聯合胎兒心臟超音波 STIC Conference
  • 學習資源
    • 台兒通訊(文章)
    • T-Talk 台兒說(影片)
    • 新生兒關節發育不良篩檢(品管系統)
  • 專家團隊
    • 台灣髖關節發育不良(DDH)
    • 台灣胎兒影像學工作小組(TFIG)
  • 台兒共筆
    • I 胎兒影像學診斷:中樞神經系統病例精選
    • II 台兒胎檢手冊:周產期安全架構
    • III 圖解先天性心臟病:從胎兒到小兒
    • IV 胎兒影像學診斷(2):全身系統病例精選(2015-2018)

2022年1-2月-1/6:【台兒知識庫】淺述馬蹄腎(Horseshoe Kidney)

 1月 13, 2022     台兒知識庫, 胎兒醫學   

台兒通訊 >> 2022年 >> 1-2月
文/台兒診所 林丹薇醫師
2021年10月14日

腎臟胚胎發育共經歷前腎(pronephros)、中腎 (mesonephros)、後腎(metanephros)三階段,胚胎第四週初時先形成許多前腎小管,互相連結形成前腎管,第四週末前腎小管相繼退化,前腎管往尾端延伸成為中腎管,中腎管進而繼續發展出中腎小管及鮑氏囊。胚胎第五週初,中胚層後腎胚芽組織 (metanephrogenic blastema)及輸尿管芽 (ureteric bud)誘導形成後腎;胚胎第六~九週開始,後腎由骨盆逐步上移至腰部位置,上移的過程中,腹主動脈發展出腎臟動脈嵌入移動中的腎臟;胚胎第十一至十二週,後腎開始產生尿液,並持續發育成日後的成體永久腎臟。

正常成體腎臟位於後腹腔、背腰處左右兩側,成對分佈,頂端通常位於胸椎第十二節高度。右腎因上方有肝臟,位置較左腎略低,約莫低半個至一個椎體。馬蹄腎是指兩側腎臟的上極 (upper pole) 或下極 (lower pole) 於大血管前相互融合在一起,形成如「馬蹄鐵」般的先天性腎畸形,多數為下極融合,少數為上極,兩腎融合的部位稱為峽部 (isthmus),隨著兩腎相連的形式不同,又可細分成不同亞型(圖一)。與正常腎臟比較起來,馬蹄腎通常位置較低,雙腎上緣頂端高度差不明顯。

圖一:馬蹄腎分型(台兒診所重製)

馬蹄腎發生率為 1/400,男女性別比率為 2:1。因馬蹄腎易合併腎臟轉位異常 (malrotation),日後發生腎臟積水、尿路結石、泌尿道感染、腎盂與輸尿管接合處狹窄或腫瘤的機率較高,但大多數個案無症狀。

馬蹄腎易因轉位異常(malrotation)致使腎盂角度往前往內偏移(anteromedial orientation),腎盂寬度也往往較一般為大。J Y Cho 等人即運用此觀念,在西元2005年發表在《Ultrasound in Obstetrics & Gynecology》中的 〈Prenatal diagnosis of horseshoe kidney by measurement of the renal pelvic angle 〉 一文中,提到產前超音波檢查可藉由測量雙側腎臟腎盂連線的交角,得以產前診斷馬蹄腎。 

診斷要點如下:取得胎兒呈俯臥姿態(prone position) 時軸向 (axial view) 下的腎臟平面,分別畫出腎盂長軸的延長線,計算雙線間的夾角,即為腎臟腎盂夾角 (Renal pelvic angle)。文章中所納入統計的胎兒,正常腎臟的腎臟腎盂夾角平均角度,在第二孕期及第三孕期,分別為172度及161度;而馬蹄腎組,則是116度及110度,兩組角度上的差異具顯著統計意義。筆者提出,若用「腎臟腎盂夾角角度小於140度」為產前馬蹄腎診斷標準,無論敏感度、特異性、正確性,皆為百分之百,圖二即為台兒診所利用此標準產前診斷的馬蹄腎與正常腎臟的圖示。若希冀在腎臟冠狀切面下(coronal view)辨識出峽部(isthmus)的位置,第三孕期優於第二孕期,或是可考慮安排胎兒磁振造影。


三分之一的馬蹄腎患者可能同時合併其他構造或染色體異常,如其他泌尿生殖系統疾病中的膀胱輸尿管逆流(vesicoureteral reflux, 50%)、雙套集尿系統(duplication of ureters, 10%)、尿道下裂及隱睪 (hypospadias and undescended testis)、雙角子宮或中隔子宮(bicornuate uterus or septate uterus, 7%)。亦可能同時合併VACTERL associations、心血管、骨骼肌肉、或神經系統等疾病。染色體異常方面,最為大家熟知的是與透納氏症(Turner syndrome)及三染色體18(Trisomy 18)間的相關性,相關性高低在不同的文獻上意見分歧,約略可總結透納氏症患者約有15%~60% 患有馬蹄腎,三染色體18則是約20%。除此之外,尚須考慮三染色體9 (Trisomy 9)的可能性,而胎兒的預後好壞即決定於以上合併症的嚴重程度。

若產前高度懷疑胎兒合併馬蹄腎,建議產後安排新生兒腎臟超音波檢查及兒童腎臟科追蹤。        

圖二:(A)正常腎臟軸狀切面,腎盂角度較平

圖二:(B)馬蹄腎軸狀切面,腎盂角度較傾(台兒診所製作)

圖二:(C)馬蹄腎「腎臟腎盂夾角」角度測量實例(台兒診所製作)

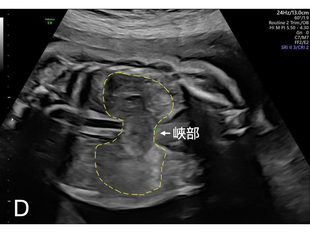
圖二:(D)馬蹄腎的冠狀切面下可見兩腎下極融合的峽部(isthmus)處(台兒診所製作)


參考資料:Cho, J. Y., Lee, Y. H., Toi, A., & Macdonald, B. (2005). Prenatal diagnosis of horseshoe kidney by measurement of the renal pelvic angle. Ultrasound in obstetrics & gynecology : the official journal of the International Society of Ultrasound in Obstetrics and Gynecology, 25(6), 554–558. https://doi.org/10.1002/uog.1904
  • Share This:  
  •  Facebook
以電子郵件傳送這篇文章BlogThis!分享至 X分享至 Facebook
較新的文章 較舊的文章 首頁

Blog Archive

  • ►  2026 (13)
    • ►  4月 (6)
    • ►  2月 (7)
  • ►  2025 (38)
    • ►  12月 (7)
    • ►  10月 (6)
    • ►  7月 (7)
    • ►  6月 (5)
    • ►  5月 (1)
    • ►  3月 (6)
    • ►  2月 (6)
  • ►  2024 (57)
    • ►  12月 (15)
    • ►  9月 (6)
    • ►  7月 (6)
    • ►  5月 (6)
    • ►  4月 (5)
    • ►  3月 (7)
    • ►  2月 (5)
    • ►  1月 (7)
  • ►  2023 (42)
    • ►  12月 (5)
    • ►  11月 (6)
    • ►  9月 (6)
    • ►  6月 (7)
    • ►  4月 (6)
    • ►  2月 (12)
  • ▼  2022 (101)
    • ►  12月 (13)
    • ►  11月 (8)
    • ►  9月 (12)
    • ►  8月 (4)
    • ►  7月 (9)
    • ►  6月 (3)
    • ►  5月 (24)
    • ►  4月 (1)
    • ►  3月 (9)
    • ►  2月 (5)
    • ▼  1月 (13)
      • 【第13屆台兒胎兒醫學工作坊】Case report - Laryngo-tracheo-esoph...
      • 【第13屆台兒胎兒醫學工作坊】 「Fetal Arrhythmia & Slow Heart Re...
      • 【第13屆台兒胎兒醫學工作坊】Spinal anomalies case series
      • 【第13屆台兒胎兒醫學工作坊】Fetal growth assessment, INTERGROWT...
      • 【台兒『慘』科OB會】2021年12月25日 第50次『慘』科OB會後記
      • 【台兒『慘』科OB會】2021年8月28日 第48次『慘』科OB會後記
      • 2022年1-2月(第79期)
      • 2022年1-2月-1/6:【台兒知識庫】淺述馬蹄腎(Horseshoe Kidney)
      • 2022年1-2月-2/6:【台兒知識庫】十年經驗回顧:以中期單胞胎孕婦子宮頸長度測量值重新制定早產...
      • 2022年1-2月-3/6:【台兒特別演講】懷孕生產也有風險? 準媽咪們都該了解的保險課!
      • 2022年1-2月-4/6:【台灣胎兒醫學振興會】胎兒熱線 肚子裡的寶寶有異常 我想找個人談談 .....
      • 2022年1-2月-5/6:【伴心日記01】匆匆來過世界的寶貝
      • 2022年1-2月-6/6:【赤匠知心】 C寶:22+0週的生命界線
  • ►  2021 (67)
    • ►  12月 (7)
    • ►  11月 (6)
    • ►  10月 (4)
    • ►  9月 (12)
    • ►  8月 (8)
    • ►  6月 (9)
    • ►  5月 (1)
    • ►  4月 (8)
    • ►  3月 (2)
    • ►  2月 (9)
    • ►  1月 (1)
  • ►  2020 (90)
    • ►  12月 (10)
    • ►  11月 (7)
    • ►  10月 (6)
    • ►  9月 (8)
    • ►  8月 (9)
    • ►  7月 (5)
    • ►  6月 (8)
    • ►  5月 (9)
    • ►  4月 (6)
    • ►  3月 (7)
    • ►  2月 (5)
    • ►  1月 (10)
  • ►  2019 (78)
    • ►  12月 (9)
    • ►  11月 (11)
    • ►  10月 (4)
    • ►  9月 (4)
    • ►  8月 (5)
    • ►  7月 (5)
    • ►  6月 (9)
    • ►  5月 (9)
    • ►  4月 (4)
    • ►  3月 (4)
    • ►  2月 (8)
    • ►  1月 (6)
  • ►  2018 (89)
    • ►  12月 (6)
    • ►  11月 (7)
    • ►  10月 (19)
    • ►  9月 (6)
    • ►  8月 (10)
    • ►  7月 (5)
    • ►  6月 (7)
    • ►  5月 (5)
    • ►  4月 (5)
    • ►  3月 (5)
    • ►  2月 (7)
    • ►  1月 (7)
  • ►  2017 (71)
    • ►  12月 (8)
    • ►  11月 (7)
    • ►  10月 (6)
    • ►  9月 (4)
    • ►  8月 (3)
    • ►  7月 (8)
    • ►  6月 (8)
    • ►  5月 (5)
    • ►  4月 (5)
    • ►  3月 (7)
    • ►  2月 (4)
    • ►  1月 (6)
  • ►  2016 (79)
    • ►  12月 (9)
    • ►  11月 (6)
    • ►  10月 (7)
    • ►  9月 (6)
    • ►  8月 (8)
    • ►  7月 (5)
    • ►  6月 (18)
    • ►  5月 (3)
    • ►  4月 (3)
    • ►  3月 (6)
    • ►  2月 (4)
    • ►  1月 (4)
  • ►  2015 (59)
    • ►  12月 (4)
    • ►  11月 (5)
    • ►  10月 (7)
    • ►  9月 (4)
    • ►  8月 (4)
    • ►  7月 (5)
    • ►  6月 (5)
    • ►  5月 (5)
    • ►  4月 (5)
    • ►  3月 (5)
    • ►  2月 (5)
    • ►  1月 (5)
  • ►  2014 (1)
    • ►  7月 (1)
  • ►  2013 (1)
    • ►  6月 (1)
  • ►  2012 (9)
    • ►  11月 (2)
    • ►  9月 (6)
    • ►  6月 (1)
  • ►  2010 (21)
    • ►  6月 (1)
    • ►  3月 (6)
    • ►  2月 (13)
    • ►  1月 (1)

Popular Posts

  • 「單絨毛膜vs雙絨毛膜」雙胞胎--作者:張東曜醫師
    雙胞胎在診斷和處置上,醫師最在意的並非是不是同卵,而是有沒有共用胎盤。 如果是異卵的雙胞胎,因為從一開始,就是兩個,所以不會共同胎盤,稱為「 雙 絨毛膜 雙 羊膜 雙 胞胎」。 如果是同卵的雙胞胎,因為一開始原來是一個受精卵,要分開成兩個,那就要看分裂的時間。 如果是受精後前3天...
  • 臍帶動脈血流阻力--作者:張東曜醫師
    臍帶動脈血流阻力(PI)可以用來評估胎盤的功能。如果阻力增加,表示胎盤的功能可能不佳,常見於子癲前症、羊水不足、或子宮內生長受限(IUGR)的胎兒。 下圖是妊娠29週雙胞胎,其中一個胎兒(生長受限者)的臍帶動脈血流波型。僅見收縮期波型(波峰),舒張期的波型已經消失,我們稱之為AE...

訂閱台兒通訊電子報

訂閱台兒通訊電子報

* indicates required

搜尋此網誌

技術提供:Blogger.

標籤

  • 『慘』科OB會 (35)
  • 子癲前症 (2)
  • 中期胎檢補助方案 (2)
  • 王羿婷 (5)
  • 北區胎兒影像學季會 (1)
  • 台日友好-日空下 (5)
  • 台兒「川瀧塾」 (3)
  • 台兒知識庫 (52)
  • 台兒研究 (2)
  • 台兒胎兒醫學工作坊 (24)
  • 台兒個案分享 (1)
  • 台兒通訊 (130)
  • 台兒通訊 2015年 (1)
  • 台兒通訊 2017.09月 (1)
  • 台兒通訊2017 (23)
  • 台兒通訊2017.09月 (2)
  • 台兒通訊2017.10月 (3)
  • 台兒通訊2017.11月 (4)
  • 台兒通訊2017.12月 (2)
  • 台兒通訊2018一月 (3)
  • 台兒新聞報 (1)
  • 台兒case library (2)
  • 台灣胎兒影像學工作小組 (5)
  • 台灣癲癇妊娠登錄系統 (2)
  • 台灣髖關節發育不良篩檢與品管系統 (20)
  • 未分類 (3)
  • 先天性心臟病 (1)
  • 伴心日記 (4)
  • 吳佩臻 (1)
  • 妊娠糖尿病 (1)
  • 赤匠知心 (8)
  • 林永傑醫師 (10)
  • 拯救胎兒計畫 (1)
  • 星蹤之愛 (10)
  • 胎兒唇顎裂產前到產後照護認証課程 (3)
  • 胎兒熱線 (3)
  • 胎兒醫學 (34)
  • 唇顎裂 (10)
  • 脊柱裂 (1)
  • 脊柱裂兒治療團隊 (1)
  • 第15屆 (7)
  • 第二屆神奈川STIC Conference (1)
  • 第十二屆台兒胎兒醫學工作坊 (1)
  • 第六屆STIC (4)
  • 第四屆STIC (1)
  • 陳國鼎醫師 (10)
  • 植入性胎盤 (2)
  • 遠距視訊教學平台 (16)
  • 藍中基醫師與我 (3)
  • DDH (1)
  • ERIC WORKSHOP (1)
  • MRI (2)
  • STIC (2)
  • TFIG (13)

檢舉濫用情形

網頁

  • 首頁

2026年 3-4月(第104期)

  台兒通訊  >>   2026年   我心正大光明。 My heart is upright and bright. 陳持平 / 91 X 72.5公分 /30F畫布 / 丙烯顏料 / 2025年  

Copyright © 台兒胎兒醫學電子報 | Powered by Blogger
Design by Hardeep Asrani | Blogger Theme by NewBloggerThemes.com | Distributed By Gooyaabi Templates