台兒胎兒醫學電子報
  • Home
  • 創辦人的話
    • 台兒診所 張東曜院長
    • 台兒理念
  • 衛教專區
    • 台兒醫師有話說
  • 台兒TMAMA官網
  • 相關連結
    • 小小心世界
  • Home
  • 創辦人的話
    • 台兒診所 張東曜院長
    • 台兒理念
  • 關於我們
    • 台兒日常
    • 台兒其人
  • 衛教專區
    • 台兒醫師有話說
  • 學術活動
    • 活動回顧
    • 『慘』科OB會
    • 台兒胎兒醫學工作坊
    • 北區胎兒影像學季會
    • 胎兒心臟病病例報告會
    • 台兒神奈川聯合胎兒心臟超音波 STIC Conference
  • 學習資源
    • 台兒通訊(文章)
    • T-Talk 台兒說(影片)
    • 新生兒關節發育不良篩檢(品管系統)
  • 專家團隊
    • 台灣髖關節發育不良(DDH)
    • 台灣胎兒影像學工作小組(TFIG)
  • 台兒共筆
    • I 胎兒影像學診斷:中樞神經系統病例精選
    • II 台兒胎檢手冊:周產期安全架構
    • III 圖解先天性心臟病:從胎兒到小兒
    • IV 胎兒影像學診斷(2):全身系統病例精選(2015-2018)

【台兒『慘』科OB會】2021年8月28日 第48次『慘』科OB會後記

 1月 24, 2022   

文 / 台兒診所 夏敬淇放射師

 第48次『慘』科OB會後記學員線上大合照

上半場為筆者介紹尿道下裂(hypospadias),可分別以下三型:Forme Fruste of Hypospadias, Standard Hypospadias, Severe Hypospadias,或又可分成龜頭型、遠端型、近端型,最常見為龜頭型,程度最為輕微也最常見,近端型為最嚴重也最罕見,產前超音波有四種跡象可被觀察到:鈍端(Blunt tip)(圖一)、陰莖腹側彎曲 (Chordee)(圖二), 縮短且包埋式陰莖 (Foreshortened and buried penis)(圖三), 鬱金香影像(Tulip sign)(圖四),但產前診斷極難診斷龜頭型,因為陰莖長度通常是正常的所以不會出現上述四項跡象,在程度嚴重的尿道下裂則可能見到一個以上的影像,而會形成鬱金香影像是由於有陰莖陰囊換位 (Penoscrotal transposition),這通常也發生在嚴重型尿道下裂。文獻也回顧在胎盤功能不好時,常見合併出現severe hypospadias,因胎盤功能不好時,hCG量下降,所以睪固酮量下降,雄性激素的濃度下降,進而影響男性生殖系統發育低下。

圖一、鈍端(台兒診所提供)

圖二、陰莖腹側彎曲(台兒診所提供)

圖三、縮短且包埋式陰莖(台兒診所提供)

圖四、鬱金香影像(台兒診所提供)
 

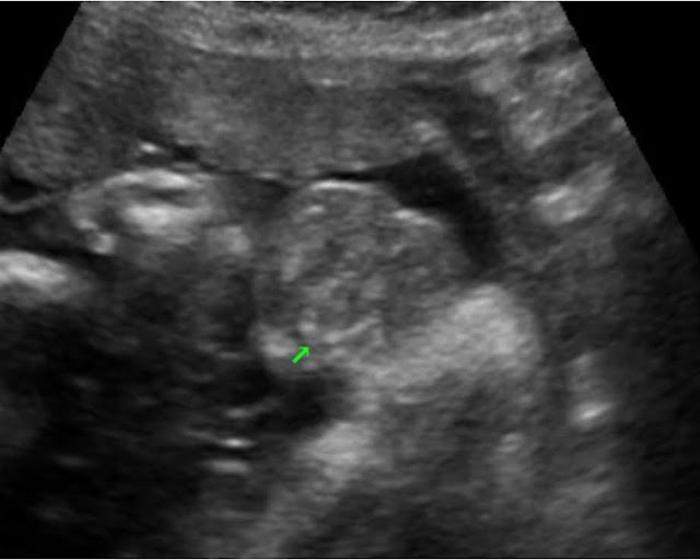
下半場由台兒診所周昱青醫師介紹肛門閉鎖 (Anal Atresia),肛門括約肌由三種肌肉形成perianal muscular complex (PAMC),分別為Internal sphincter, External sphincter, Puborectalis muscle,直腸和肛門的分界以提肛肌(Levator Ani muscle)做界線,無肛症 (imperforate anus)分為低位和高位,低位無肛會有完整的PAMC,高位無肛則可能缺乏PAMC或只剩一點點Internal sphincter,產前診斷相當困難,在2006年統計的產前診斷率約為16%。很少會單獨發生,約有85%會合併其他異常。肛門的超音波影像會看到如標靶(target sign)的影像,外圈低回音,內圈高回音(圖五),切面的標準不能看見骨盆的任何骨頭或股骨頭,如有看到上述的骨頭,表示切面切在胎兒較頭端的地方,為錯誤的切面;另一可能混淆的是會陰體(perineal body),在超音波下也會呈現高回音,但不會有外圈的低回音(圖六)。

圖五、Target sign(台兒診所提供)

圖六、會陰體(虛箭頭)和肛門(實箭頭)(台兒診所提供)

  • Share This:  
  •  Facebook
以電子郵件傳送這篇文章BlogThis!分享至 X分享至 Facebook
較新的文章 較舊的文章 首頁

Blog Archive

  • ►  2026 (13)
    • ►  4月 (6)
    • ►  2月 (7)
  • ►  2025 (38)
    • ►  12月 (7)
    • ►  10月 (6)
    • ►  7月 (7)
    • ►  6月 (5)
    • ►  5月 (1)
    • ►  3月 (6)
    • ►  2月 (6)
  • ►  2024 (57)
    • ►  12月 (15)
    • ►  9月 (6)
    • ►  7月 (6)
    • ►  5月 (6)
    • ►  4月 (5)
    • ►  3月 (7)
    • ►  2月 (5)
    • ►  1月 (7)
  • ►  2023 (42)
    • ►  12月 (5)
    • ►  11月 (6)
    • ►  9月 (6)
    • ►  6月 (7)
    • ►  4月 (6)
    • ►  2月 (12)
  • ▼  2022 (101)
    • ►  12月 (13)
    • ►  11月 (8)
    • ►  9月 (12)
    • ►  8月 (4)
    • ►  7月 (9)
    • ►  6月 (3)
    • ►  5月 (24)
    • ►  4月 (1)
    • ►  3月 (9)
    • ►  2月 (5)
    • ▼  1月 (13)
      • 【第13屆台兒胎兒醫學工作坊】Case report - Laryngo-tracheo-esoph...
      • 【第13屆台兒胎兒醫學工作坊】 「Fetal Arrhythmia & Slow Heart Re...
      • 【第13屆台兒胎兒醫學工作坊】Spinal anomalies case series
      • 【第13屆台兒胎兒醫學工作坊】Fetal growth assessment, INTERGROWT...
      • 【台兒『慘』科OB會】2021年12月25日 第50次『慘』科OB會後記
      • 【台兒『慘』科OB會】2021年8月28日 第48次『慘』科OB會後記
      • 2022年1-2月(第79期)
      • 2022年1-2月-1/6:【台兒知識庫】淺述馬蹄腎(Horseshoe Kidney)
      • 2022年1-2月-2/6:【台兒知識庫】十年經驗回顧:以中期單胞胎孕婦子宮頸長度測量值重新制定早產...
      • 2022年1-2月-3/6:【台兒特別演講】懷孕生產也有風險? 準媽咪們都該了解的保險課!
      • 2022年1-2月-4/6:【台灣胎兒醫學振興會】胎兒熱線 肚子裡的寶寶有異常 我想找個人談談 .....
      • 2022年1-2月-5/6:【伴心日記01】匆匆來過世界的寶貝
      • 2022年1-2月-6/6:【赤匠知心】 C寶:22+0週的生命界線
  • ►  2021 (67)
    • ►  12月 (7)
    • ►  11月 (6)
    • ►  10月 (4)
    • ►  9月 (12)
    • ►  8月 (8)
    • ►  6月 (9)
    • ►  5月 (1)
    • ►  4月 (8)
    • ►  3月 (2)
    • ►  2月 (9)
    • ►  1月 (1)
  • ►  2020 (90)
    • ►  12月 (10)
    • ►  11月 (7)
    • ►  10月 (6)
    • ►  9月 (8)
    • ►  8月 (9)
    • ►  7月 (5)
    • ►  6月 (8)
    • ►  5月 (9)
    • ►  4月 (6)
    • ►  3月 (7)
    • ►  2月 (5)
    • ►  1月 (10)
  • ►  2019 (78)
    • ►  12月 (9)
    • ►  11月 (11)
    • ►  10月 (4)
    • ►  9月 (4)
    • ►  8月 (5)
    • ►  7月 (5)
    • ►  6月 (9)
    • ►  5月 (9)
    • ►  4月 (4)
    • ►  3月 (4)
    • ►  2月 (8)
    • ►  1月 (6)
  • ►  2018 (89)
    • ►  12月 (6)
    • ►  11月 (7)
    • ►  10月 (19)
    • ►  9月 (6)
    • ►  8月 (10)
    • ►  7月 (5)
    • ►  6月 (7)
    • ►  5月 (5)
    • ►  4月 (5)
    • ►  3月 (5)
    • ►  2月 (7)
    • ►  1月 (7)
  • ►  2017 (71)
    • ►  12月 (8)
    • ►  11月 (7)
    • ►  10月 (6)
    • ►  9月 (4)
    • ►  8月 (3)
    • ►  7月 (8)
    • ►  6月 (8)
    • ►  5月 (5)
    • ►  4月 (5)
    • ►  3月 (7)
    • ►  2月 (4)
    • ►  1月 (6)
  • ►  2016 (79)
    • ►  12月 (9)
    • ►  11月 (6)
    • ►  10月 (7)
    • ►  9月 (6)
    • ►  8月 (8)
    • ►  7月 (5)
    • ►  6月 (18)
    • ►  5月 (3)
    • ►  4月 (3)
    • ►  3月 (6)
    • ►  2月 (4)
    • ►  1月 (4)
  • ►  2015 (59)
    • ►  12月 (4)
    • ►  11月 (5)
    • ►  10月 (7)
    • ►  9月 (4)
    • ►  8月 (4)
    • ►  7月 (5)
    • ►  6月 (5)
    • ►  5月 (5)
    • ►  4月 (5)
    • ►  3月 (5)
    • ►  2月 (5)
    • ►  1月 (5)
  • ►  2014 (1)
    • ►  7月 (1)
  • ►  2013 (1)
    • ►  6月 (1)
  • ►  2012 (9)
    • ►  11月 (2)
    • ►  9月 (6)
    • ►  6月 (1)
  • ►  2010 (21)
    • ►  6月 (1)
    • ►  3月 (6)
    • ►  2月 (13)
    • ►  1月 (1)

Popular Posts

  • 「單絨毛膜vs雙絨毛膜」雙胞胎--作者:張東曜醫師
    雙胞胎在診斷和處置上,醫師最在意的並非是不是同卵,而是有沒有共用胎盤。 如果是異卵的雙胞胎,因為從一開始,就是兩個,所以不會共同胎盤,稱為「 雙 絨毛膜 雙 羊膜 雙 胞胎」。 如果是同卵的雙胞胎,因為一開始原來是一個受精卵,要分開成兩個,那就要看分裂的時間。 如果是受精後前3天...
  • 臍帶動脈血流阻力--作者:張東曜醫師
    臍帶動脈血流阻力(PI)可以用來評估胎盤的功能。如果阻力增加,表示胎盤的功能可能不佳,常見於子癲前症、羊水不足、或子宮內生長受限(IUGR)的胎兒。 下圖是妊娠29週雙胞胎,其中一個胎兒(生長受限者)的臍帶動脈血流波型。僅見收縮期波型(波峰),舒張期的波型已經消失,我們稱之為AE...

訂閱台兒通訊電子報

訂閱台兒通訊電子報

* indicates required

搜尋此網誌

技術提供:Blogger.

標籤

  • 『慘』科OB會 (35)
  • 子癲前症 (2)
  • 中期胎檢補助方案 (2)
  • 王羿婷 (5)
  • 北區胎兒影像學季會 (1)
  • 台日友好-日空下 (5)
  • 台兒「川瀧塾」 (3)
  • 台兒知識庫 (52)
  • 台兒研究 (2)
  • 台兒胎兒醫學工作坊 (24)
  • 台兒個案分享 (1)
  • 台兒通訊 (130)
  • 台兒通訊 2015年 (1)
  • 台兒通訊 2017.09月 (1)
  • 台兒通訊2017 (23)
  • 台兒通訊2017.09月 (2)
  • 台兒通訊2017.10月 (3)
  • 台兒通訊2017.11月 (4)
  • 台兒通訊2017.12月 (2)
  • 台兒通訊2018一月 (3)
  • 台兒新聞報 (1)
  • 台兒case library (2)
  • 台灣胎兒影像學工作小組 (5)
  • 台灣癲癇妊娠登錄系統 (2)
  • 台灣髖關節發育不良篩檢與品管系統 (20)
  • 未分類 (3)
  • 先天性心臟病 (1)
  • 伴心日記 (4)
  • 吳佩臻 (1)
  • 妊娠糖尿病 (1)
  • 赤匠知心 (8)
  • 林永傑醫師 (10)
  • 拯救胎兒計畫 (1)
  • 星蹤之愛 (10)
  • 胎兒唇顎裂產前到產後照護認証課程 (3)
  • 胎兒熱線 (3)
  • 胎兒醫學 (34)
  • 唇顎裂 (10)
  • 脊柱裂 (1)
  • 脊柱裂兒治療團隊 (1)
  • 第15屆 (7)
  • 第二屆神奈川STIC Conference (1)
  • 第十二屆台兒胎兒醫學工作坊 (1)
  • 第六屆STIC (4)
  • 第四屆STIC (1)
  • 陳國鼎醫師 (10)
  • 植入性胎盤 (2)
  • 遠距視訊教學平台 (16)
  • 藍中基醫師與我 (3)
  • DDH (1)
  • ERIC WORKSHOP (1)
  • MRI (2)
  • STIC (2)
  • TFIG (13)

檢舉濫用情形

網頁

  • 首頁

2026年 3-4月(第104期)

  台兒通訊  >>   2026年   我心正大光明。 My heart is upright and bright. 陳持平 / 91 X 72.5公分 /30F畫布 / 丙烯顏料 / 2025年  

Copyright © 台兒胎兒醫學電子報 | Powered by Blogger
Design by Hardeep Asrani | Blogger Theme by NewBloggerThemes.com | Distributed By Gooyaabi Templates