文/台兒診所 李怡盈放射師
泌尿道擴張(urinary tract dilation)是產前超音波篩檢經常檢出的異常之一,疾病涵蓋的範圍很廣,從輕微的腎盂擴張到嚴重水腎、輸尿管水腫等都可能包含在內。
由於胎兒仍在成長中,相較於身體,輸尿管顯得較長且曲折,因此有時會觀察到暫時性的腎盂擴張,待胎兒長大,輸尿管拉直後便會漸漸改善。這樣的情形約佔泌尿道擴張案例的一半以上,只需稍加留意即可;另一半主要由泌尿道阻塞引起,至於多囊性腎等腎臟發育不良的案例也有機會合併泌尿道擴張,對這些案例而言,定期追蹤就顯得重要許多。
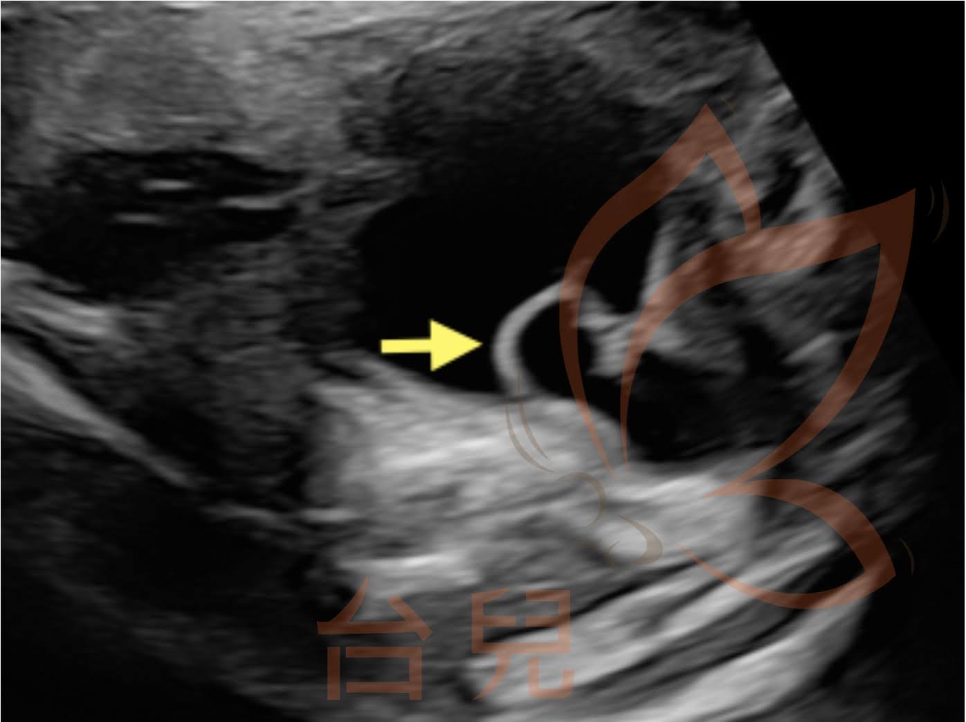
台兒診所在第二次新生兒季會中回顧的兩個案例也屬於後者:分別是「嚴重水腎合併輸尿管水腫」及「輸尿管囊腫(ureterocele)」。
第一個案例來診時懷疑為多囊腎,在不同角度下檢查才發現腫脹的水泡狀構造其實是腎盞,還有一條水腫的輸尿管由嚴重腫脹的腎盂連至膀胱(圖一),說明了多角度檢查的重要性。另一個案例於產後確診為雙套腎,且輸尿管囊腫時有外翻(圖二)。
與會的馬偕小兒腎臟科蔡政道醫師提醒我們,輸尿管囊腫與雙套腎關聯性很高,連接上面那套集尿系統(upper moiety)的輸尿管特別容易合併輸尿管囊腫,另一套集尿系統(lower moiety)則較容易發生腎盂輸尿管交接處阻塞(ureteropelvic junction obstruction, UPJO)。因此,輸尿管囊腫的個案需要回頭仔細檢查腎盂;雙套腎的個案在後續追蹤時也最好多注意膀胱,觀察是否出現輸尿管囊腫。
我們可以用腎盂大小來初步量化水腎的嚴重程度,妊娠中期腎盂>7mm、妊娠晚期>10mm即為中度以上水腎。若要描述得更細緻,可以參考兒科常用的SFU (society of fetal urology) grading system(圖三),進一步描述腎盞及腎臟皮質的變化,當皮質開始變薄(grade 4),產後需手術的機率會大幅上升。
在SFU grade system之外,蔡政道醫師也分享了UTD (urinary tract dilation) classification system。這個系統除了腎臟,還加入其他泌尿系統部位的描述,這樣的架構讓我們對疾病有較宏觀的認識——建立針對整個泌尿系統做評估的習慣,而非只關注腎臟。
當水腎胎兒的腎盞、腎臟皮質、輸尿管、膀胱、羊水其中任一樣出現異常,胎兒在產後有症狀、需要醫療介入的機會便隨之增加。我們必須在產前密集追蹤(每4~6週)高風險個案的腎臟、羊水變化、安排孕婦及家屬照會專科醫師進一步諮詢、及早建立產後的追蹤管道與計畫。
雖然泌尿系統異常的產前診斷門檻在先天性異常中相對較低,仍須對疾病細緻的了解及臨床經驗,才能制定理想的追蹤及轉診計畫,讓孕婦及新生兒得到最好的照顧。




